14岁男生4天高烧不退!一查不是甲流,竟是这种感染

Connor 比特币行情 2025-01-10 42 0

冬季寒潮来临,呼吸道疾病进入高发期,中疾控报告显示:流感病毒阳性率“跃居第一”。

14岁的初中生昊昊(化名),近日高烧不退,体温达到38℃。妈妈觉得孩子肯定是得了甲流,就给昊昊用了“奥司他韦”,结果4天过去了,昊昊的情况并没明显好转,不知如何是好的家长这才带着孩子来到杭州市第一人民医院发热门诊。

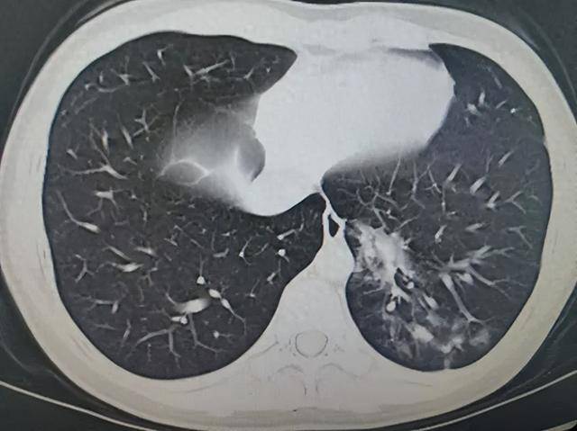
感染科副主任医师俞立飞接诊后,详细询问病史,发现昊昊肺部有啰音,综合评估,孩子更像是肺炎支原体,而后肺部CT的结果也证实了俞立飞的判断:左肺多发磨玻璃影,好像飘了一片“小云朵”,病原学检测结果提示:肺炎支原体感染。

14岁男生4天高烧不退!一查不是甲流,竟是这种感染

杭州市第一人民医院供图

好在,经对症治疗,昊昊高热和咳嗽症状有了明显改善。

“目前流感来势汹汹,同时也要小心其他病原体的偷袭,如人偏肺病毒、支原体,这些病原体都可能引起肺炎。”俞立飞解释,但家长也不用过于恐慌,感染肺炎支原体后,并不一定都会引发支原体肺炎,一旦发现孩子发烧症状加剧或长时间不见好,请及时就医。

支原体肺炎、流感、感冒,究竟如何鉴别?

俞立飞介绍,流感是由病毒感染引起,主要症状为发热、头痛、全身肌肉酸痛等,以高热居多(39℃-40℃),传染性高。

普通感冒往往是因多种病原体引起,患者不发热或低热,传染性低,以流鼻涕、打喷嚏为主要表现。

而支原体感染传染性高,多见于儿童、老年人和免疫力较差的人群,表现为渐进性干咳、头痛、发热、咽痛等,少数伴有高热。

“支原体和很多的病毒性感染都是自限性疾病,即使不处理也会慢慢好起来,发热是机体应对疾病的防御性反应。”俞立飞介绍,对于免疫力正常的人群,一般的支原体感染,会在3~5天内慢慢好转,如果出现发热,只要精神好,能吃能喝能睡,可以先观察1-2天,不必急于去医院。但有的人,即使体温不是很高,精神不仅萎靡不振,还伴有恶心、呕吐甚至心跳快、呼吸困难,则需马上就医。

医生特别提醒,上述疾病都有发生肺部炎症的风险及心肌炎的可能性,若不慎感染,一定要注意保暖,好好休息,多喝水,补充优质蛋白。

(来源:潮新闻)

评论